⚠裁断済 歯列矯正治療の失敗と再治療 : 臨床現場からのレポート ☆ 歯列矯正治療の失敗と再治療| 歯科総合出版社 デンタルダイヤモンド社
(3523件)
Pontaパス特典
サンキュー配送
9280円(税込)
93ポイント(1%)
Pontaパス会員ならさらに+1%ポイント還元!
送料
(
)
3524
配送情報
お届け予定日:2026.06.08 2:26までにお届け
※一部地域・離島につきましては、表示のお届け予定日期間内にお届けできない場合があります。
ロットナンバー
764652124
お買い物の前にチェック!
Pontaパス会員なら
ポイント+1%
ポイント+1%
商品説明


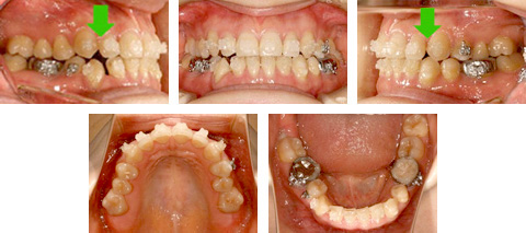
裁断しています「歯列矯正治療の失敗と再治療 : 臨床現場からのレポート」菅原 準二定価: ¥ 17000#菅原準二 #菅原_準二 #本 #自然/医療・薬学・健康
| カテゴリー: | 本・雑誌・漫画>>>本>>>その他 |
|---|---|
| 商品の状態: | やや傷や汚れあり","目につく傷や汚れがある |
| 配送料の負担: | 送料込み(出品者負担) |
| 配送の方法: | 未定 |
| 発送元の地域: | 大阪府 |
| 発送までの日数: | 4~7日で発送 |
レビュー
商品の評価:




4.6点(3523件)
- テンジンサン
- 訳有りという事でしたが、味も今まで食べていた物と変わらず美味しく全然問題ないです。また購入します。
- 購入者197106
- 皮に近く薄いため、却って食べやすいです。味も良く、この価格は大満足。ただ、混ざっているヒレの部分はもの凄く堅く、時に骨が手や口に刺さります。これが少ない袋は当たりと思います。
- dosankok
- 中〜小ぶりの希望どおり、欲しい大きさのがドンピシャ♪ 刺身と煮つけ(アラで出汁とりました)で、まずは美味しくいただきました。 残りは「味噌粕漬け」です。 味噌粕漬けは、身を食べた残りの骨を素揚げして「骨煎餅」で完食できます♪ これおススメです☆☆☆
- さくらcha
- 浜田出身の母に送りました。いつも気に入ってくれています。
- ミソ(メイツ)
- 調理はむずかしいかも レシピの案内があれば参考にできる
- risars2
- 小さいわりに、おいしいですよ。いい買い物でした。
- 木こりケリー
- 母が若い頃によく食べたと言うのでネット検索でこちらを見つけました。 かなり楽しみにしていましたが少し古い?とあまり喜んでいませんでした。
- ぐくみんゆの
- アロワナのえさ用に購入しました 1匹ずつ取り出せるので便利です。食いつきも良いです。
すべて見る
お店の情報
7,367
連絡・応対
4.3
配送スピード
4.3
梱包
4.3










