【新品・未使用品】光加速装置 マウスピース矯正 歯列矯正 インビザライン インビザライン・光加速矯正 - 【公式】沖縄の歯科矯正 おきなわ矯正歯科
(3511件)
Pontaパス特典
サンキュー配送
24255円(税込)
243ポイント(1%)
Pontaパス会員ならさらに+1%ポイント還元!
送料
(
)
3504
配送情報
お届け予定日:2026.05.27 2:2までにお届け
※一部地域・離島につきましては、表示のお届け予定日期間内にお届けできない場合があります。
ロットナンバー
606071140
お買い物の前にチェック!
Pontaパス会員なら
ポイント+1%
ポイント+1%
商品説明




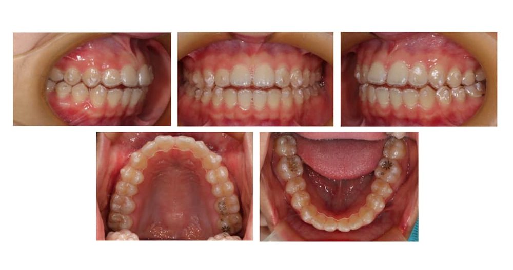
【新品未使用】歯列矯正 矯正光加速装置LUMIDENT矯正契約の際に付属品として購入しなければならなかったのですが、使用しないため出品いたします。\r2026年1月中旬に商品を受け取りました。新品、未使用品になります。状態確認のため、添付画像3枚目時点まで開封しましたが器具自体は開封しておりません。歯科医院でいただいたご利用ガイドも同封します。\r\r定価:約10万円\r\r【商品説明】\r1日10分(上下5分ずつ)口の中に入れて照射することで、矯正を早く終わらせたり痛みを軽減するのに使う光加速矯正装置です。\r\r配送中や到着後の破損・不具合等につきましては責任を負いかねますのでご了承ください。\r\r返品不可
| カテゴリー: | コスメ・美容>>>オーラルケア>>>その他 |
|---|---|
| 商品の状態: | 新品、未使用","新品で購入し、一度も使用していない |
| 配送料の負担: | 送料込み(出品者負担) |
| 配送の方法: | 佐川急便/日本郵便 |
| 発送元の地域: | 未定 |
| 発送までの日数: | 2~3日で発送 |
レビュー
商品の評価:




4.7点(3511件)
- ひろりん7619
- 火であぶって醤油マヨネーズ付けてウィスキー飲めば最高です!
- nico.25
- 大変おいしくいただきました。また購入したいと思っています。
- yasuneuzmi
- 以前三度購入その後は何度お店を覗いても無くお店に問い合わせたら、マトウダイが捕れないとの事で諦めていたのですが、駄目元で覗いてみたら再販されていて即購入、あっさりふっくらサクサクのこのフライ家族も大好きなので嬉しかったです、届くのが楽しみです。
- Yuakari
- こちらで購入したタラフライが大変美味しかったので、今度はこちらの商品を購入しました。 見た目は小ぶりですが、食べてみてびっくり! とってもしっかりした歯ごたえ。お魚と言われなければ鶏肉と勘違いしそうなほど。ぎゅっとお肉が詰まっている感じで食べごたえ抜群! とんかつソースでもタルタルソースでもどちらも捨てがたいおいしさ。リピート確定です。
- りえ0508
- お礼に送りましたが。相手からとても喜ばれました。
- レイ3683
- 久々にめふんを食べた 自分的には、もう少し 塩が欲しい お酒のつまみに 最適 少し生臭い
- o.kaisei
- 自分はセールで500円で購入出来てラッキーでしたが、内容量に関して6〜9って書いてますが嘘ですね。 平均、5個です。内容量の個数詐欺なんで、会社は商品内容を書き換えるべきです。味は美味しいですよ。
- ねぶた大賞
- 何にでも使えそうです、焼きそば。お好み焼き等々。
- AKRmama
- 味も柔らかさも良かったのですが、いかんせん145gは薄く、小さかったですね。
- いちいち168
- 初めてです。 レンジでとっても簡単!そして美味しかったです。
- もわ3097
- いくらやうにホタテがあるが、定価で買うほどの魅力は無いです。半額で買ってもまだ高いし、高額材料も冷凍→解凍処理で味は落ちますし、コスパは??と言う感想です。生食で高額材料の味が落ちないなら美味しいかも。高額材料も再々解凍様な気がします(個人的感想ですが)
すべて見る
お店の情報
7,367
連絡・応対
4.3
配送スピード
4.3
梱包
4.3










